| 矯正歯科 予防歯科 |
審美歯科 訪問歯科 |
|---|
診療内容
Treatment
Treatment
マウスピース矯正、ワイヤー矯正はもちろん、通常の矯正治療と比較して矯正治療期間を短縮するスピード矯正(コルチコトミー矯正)も行なっています。手術を行い歯の移動を早くする治療法です。
治療期間が短縮できるということ以外に、歯周組織の改善もできるため、歯周病治療として行う場合もあります。

ワイヤー矯正とは異なり、見た目を気にせずマウスピースで歯を動かす治療になります。
レントゲンや口腔内の資料(模型や写真)をとり、しっかりと診断を行います。
シリコンで採取した型を郵送しマウスピースを作ってもらいます。
必要に応じてアタッチメントや歯の切削を行いマウスピース矯正をスタートします。
レントゲン撮影や口腔内の資料(模型や写真)をとり、しっかりと診断を行います。
マルチブラケット装置を取り付けワイヤーにより歯を並べていきます。
必要に応じて歯を削ったり歯を抜いたりすることがありますがその際はしっかりと説明の元行います。
保定装置をいれ歯の後戻りを防ぎます。

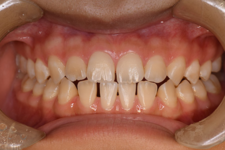
口腔内写真、歯周病検査、レントゲン撮影を行い口腔内の資料を取り、矯正を行います。
歯周病の状態が正常であるか、抜歯が必要かなど十分に診査をおこない矯正を始めて行きます。

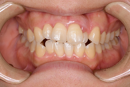
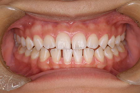
約2年後、非抜歯で動的矯正を終了し、保定へと移行します。
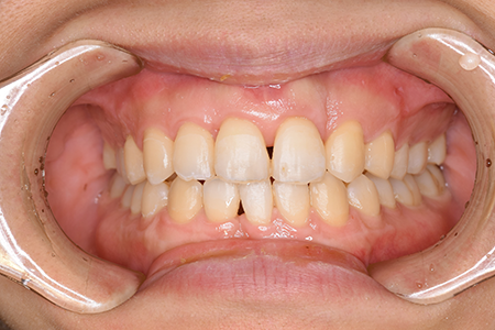
矯正後は長期間にわたり歯が後戻りをしないようにするため保定装置をつけていただきます。
| メリット | 歯並びが綺麗になります。 |
|---|---|
| デメリット | ・ワイヤー装着中は虫歯になりやすくなります。 ・口内炎ができやすくなります。 ・歯の移動中痛みを伴うことがあります。 ・歯根吸収、歯肉退縮、歯槽骨吸収がおこる可能性があります。 ・後戻りを防止するため保定が長期間必要になります。 |
| 費用 | 上下80万円/片顎40万円 |
歯並びを治したい方、歯並びによって歯周病が進行している方などを対象に治療を行います。
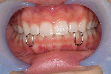
手術の1週間ほど前に矯正装置(ブラケット)を装着します。
歯ぐきに局所麻酔の注射をし、歯ぐきを切開してめくり、歯の根の間の骨に切り込みを入れていきます。歯をスムーズに動かすために調整しながら行います。
歯ぐきの骨を強くするために人工骨を入れ、骨を作っていきます。
めくった歯ぐきを閉じて縫合します。抜歯はおおよそ1週間後になります。ここから数ヶ月かけて歯が動き、骨が出来てきます。
保定装置をいれ歯の後戻りを防ぎます。
定期的にお口のメインテナンスを行います。メインテナンスでは、歯垢の付着や歯周ポケットの溝の深さの確認、歯茎の炎症の確認、歯石除去などを行います。

歯周病検査とレントゲン撮影の後、患者さまと治療方針のすり合わせを行い、歯周病治療へと移行。
歯周病治療と同時にスピード矯正を検討。

コルチコトミー矯正の治療開始から約半年で矯正治療終了となりました。
※歯の動くスピードには個人差があります。
| メリット | 従来のワイヤー矯正に比べて歯の移動が早くなります。 |
|---|---|
| デメリット | ・外科処置による痛みや腫れが伴います。 ・切開線が目立つことがあります。 ・ワイヤー装着中は虫歯になりやすくなります。 ・口内炎ができやすくなります。 ・歯の移動中痛みを伴うことがあります。 ・歯根吸収、歯肉退縮、歯槽骨吸収がおこる可能性があります。 ・後戻りを防止するため保定が長期間必要になります。 |
通常こどもの矯正治療開始は大人の前歯の生える6、7歳からのスタートとなります。しかし、3歳時から将来明らかに大人の歯が並ぶスペースが足りない子、口の周りの悪い癖がある子がいます。将来の悪い咬み合わせを防ぐことを目的に3歳から簡単な早期矯正治療を行います。
当院では、歯の汚れが気になる患者さまに審美歯科の治療を行なっています。
オフィスホワイトニングはもちろんのこと、自宅でできるホームホワイトニング、下がった歯茎を覆う根面被覆、被せ物など、患者さまの希望と治療可能かどうかを相談しながら適切な治療決めていきます。
各治療方法については下記で詳しく説明しております。
当院では、ご自宅で行うことができるホームホワイトニングと診療室で行うオフィスホワイトニングを行っています。
ホームホワイトニングは患者さま専用のホワトニング用のトレーを作り、ご自宅でトレーの中にジェル状のホワイトニング剤を入れ、毎日1〜2時間ほど装着して歯を白くする治療方法です。オフィスホワイトニングは診療室で一気に歯を白くする方法です。

歯の型をとって専用のマウストレーを作製します。
完成したマウストレーとホワイトニングジェルをお持ち帰りいただきます。

ホワイトニングジェルをマウストレーに注入します。(カスタムトレー上の対象歯に一歯ずつジェルを入れます。)

マウストレーを歯に装着します。ホワイトニングジェルが歯面全体に行き渡っていることを確認します。

1時間後、マウストレーを外して水でよく洗い、口をよくすすぎます。

マウストレーをよく乾燥させた後、専用ケースに入れて清潔に保管します。

歯の確認をします。ホワイトニング直後〜1時間は飲食、喫煙はしないようにしてください。

こちらの患者さまは歯のホワイトニングを希望されたため、ホームホワイトニングを行いました。

約1週間かけてホームホワイトニングを行いました。
※ホワイトニングの効果には個人差があります。
| メリット | 歯を白くします。 |
|---|---|
| デメリット | 歯肉退縮、歯根吸収、知覚過敏症状が起こる可能性があります。 |
| ホワイトニング用トレー上下 ホワイトニング用ジェル8本 |
30,000円 |
|---|---|
| ホワイトニングジェル追加購入 | 2,500円/1本 4,000円/2本セット |
徐診療室で高濃度ホワイトニングジェルを塗布し歯を一気に白くする方法です。
欠点はホームホワイトニングに対して歯にかかる負担が大きいことです。そのため知覚過敏などの症状が出やすくなります。
※上記手順を2~3回行います
| 1回 | 50,000円 |
|---|
当院では補綴治療として行なっている、被せ物による治療でも歯を美しくできると考えています。
ジルコボンド、emaxクラウン、emaxインレーというような、歯に馴染みやすく、本物の歯と見た目がほとんど変わらない被せ物もございます。
ジルコボンド150,000~250,000円/本
emax・ジルコニアクラウンemax:90,000円/本
レイヤリングジルコニア:100,000円/本
単色ジルコニア:80,000円/本
emax・ジルコニアインレーemaxインレー:50,000円/本
ジルコニアインレー:60,000円/本
メタルボンドクラウン
歯周病検査とレントゲン撮影を行い、患者さまと治療方針のすり合わせを行い、歯周病治療へと移行。

歯周病の治療および根の治療を、仮歯を使いながら、見た目がなるべく悪くならないように補って治療を行います。

仮歯で歯の大きさ、形を納得してもらった後に型取りをし、最終的な被せ物に置き換えていきます。
被せ物や治療の種類により保険内治療、保険外治療に分かれます。
| 治療内容 | 奥歯の抜歯、被せ物(補綴)治療、根管治療、インプラント治療、 ジルコボンドによる審美および機能補綴 |
|---|---|
| メリット デメリット |
インプラントのメリット・デメリットはこちら ジルコボンドのメリット・デメリットはこちら |
| 費用 | ・ジルコボンド150000円×18歯 ・仮歯10,000円×18歯 ・土台10,000円×18歯 ・前歯の小矯正50,000円×1歯 ・クラウンレングスニング50,000円×5歯 ・インプラント500,000円×8本 ・インプラント骨造成(GBR)150,000円×3回(全て税別) |
| 治療の注意点 | 被せ物が保険外の場合土台と仮歯は保険適応外になります。 インプラントのメインテナンスは保険適応外(1回5,000円)になります。 |
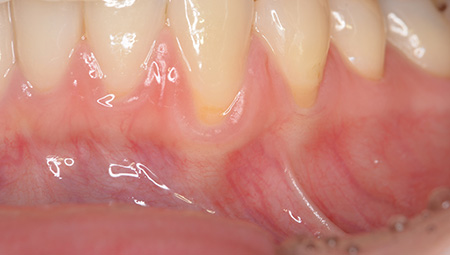
上顎の内側から歯肉を採取し、下がった歯茎を覆う方法です。
エムドゲインと併用することにより、より良好な結果が得られるとされています。
歯肉退縮、それに伴う知覚過敏症状、ブラッシング時痛などに適応できます。

歯茎が下がり見た目が気になる。歯ブラシを当てると痛い。知覚過敏が起きたため来院されました。

手術後、1年が経過しても歯肉の厚みが確保され歯肉は下がっていません。
| メリット | ・歯肉退縮を改善できます。 ・ブラッシング時の痛みがおさまります。 ・歯肉の厚みを確保できます。 |
|---|---|
| デメリット | ・外科処置で上顎の裏側から歯肉を取るため痛みを伴います。 ・骨から出ている歯根を削る必要があります。 ・保険適応外となります。 |
| 費用 | ・40,000円×2歯 ・検査料(CT検査)15,000円 |
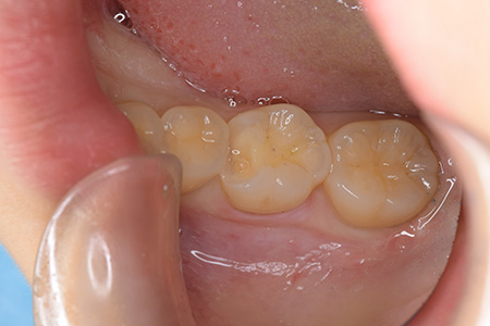
詰め物による審美的な修復治療になります。
裂溝の再現、隆線の再現、溝の着色など自然観のある歯を再現します。
適応症が限られ、小さい範囲の治療に適しています。

銀の詰め物で見た目が気になるということで来院されました。

銀歯を外し必要であれば虫歯を除去します。

ダイレクトボンディングシステムにより、即日で詰め物を行い終了しました。
※この患者さまのケースでは、治療は1回で終了しました。
| メリット | ・型取りを必要としないため、即日で治療を終えることができます。 ・見た目がきれいになります。 |
|---|---|
| デメリット | ・金属やセラミックに比べると強度が弱いです。 ・冷たい物が沁みたりなどの神経症状が起こる可能性があります。 ・適応範囲が限られます。(小さな範囲) ・虫歯が無ければ保険適応外になります。 |
| 費用 | ・30,000円/歯 |
予防歯科とは「痛くなってから歯を治療する」のではなく、虫歯や歯周病などにかかる前に予防することです。歯やお口の中の健康維持のためには、虫歯や歯周病にならないことが大切です。虫歯や歯周病は、早期発見することで歯を削る量や歯への負担が減り、治療時間の短縮や治療費の軽減にもつながります。
歯科医院でのプロケアと家庭でできるホームケアを組み合わせて、健康な歯を保ちましょう。
当院では、大人、子ども問わず、月に1度クリーニングとフッ素塗布を行なっています。
クリーニングでは、歯科衛生士が専用の器械を使って歯磨きでは取れない歯の汚れや歯石を落としていきます。その後、フッ素を歯に直接塗布することで歯垢が付着するのを防ぎ、歯の耐性を向上させます。フッ素は歯の質を強くする自然元素のひとつで、歯や骨を強化する力が強いことから虫歯予防に利用されています。 その後、歯科衛生士による歯ブラシ指導を受けていただき、正しい歯磨きの方法を理解したうえでご家庭で実践していただきます。
当院でのケアとご家庭でのケアの両方をしっかり行うことで、虫歯や歯周病を防ぎ、お口の健康管理と維持をしていきます。
| フッ素を口内に残す | 自宅でできるセルフケア ・フッ素配合歯磨き剤を使う ・すすぎ過ぎない プロフェッショナルケア ・フッ素塗布 (高濃度のフッ素を塗布して虫歯を予防) |
|---|---|
| 歯石を残さず落とす | 自宅でできるセルフケア ・歯ブラシで歯の一本一本を丁寧に磨く ・デンタルフロスを使って隙間の歯垢を取り除く プロフェッショナルケア ・スケーリング (スケーラーで歯石を取り除く) ・PMTC (セルフケアでは落としきれていない歯垢を専用機器で落とす) ・歯みがき指導 (ひとりひとりのお口に合った歯みがき指導を行います) |
| 細菌を増やさない | 自宅でできるセルフケア ・デンタルリンスなどの殺菌剤で口内の隅々まで洗浄 プロフェッショナルケア ・口腔内診査 (歯や歯ぐきの状態、口内細菌の数のチェック) ・シーラント (歯垢が残りやすい歯の隙間などを樹脂などでふさいで虫歯を予防) |
ご高齢で通院が難しい方、ケガや病気など身体が不自由で通院が難しい方に向けて訪問診療を行なっています。
歯科医師や歯科衛生士が個人宅や施設、病院を訪問し、歯科診療をおこないます。
訪問診療の対象者は基本的に「1人での通院が困難な方」となります。
具体的には下記のような方が当てはまります。
病院のソーシャルワーカー、担当ケアマネジャーにお願いするか、ご家族等が直接、利用を検討している医療機関へ相談し、診療内容や利用できるかどうかなどについて確認します。
相談員や看護師等と事前に面談し、診療方針について相談します。
あわせて、診療内容や費用、緊急時の連絡方法などを確認し、利用開始することが決まれば訪問診療開始時期を調整します。
事前訪問時(時に、初回訪問時も)などに利用申し込み手続きを行います。 利用時に必要な書類は代表的なものとして「かかりつけ医からの診療情報提供書」「医療保険証」「介護保険証」「印鑑」などがあります。
ただし、公費関係の書類や、ご状態に関する詳細情報、お薬に関する情報など個別に情報が必要となることもありますので、詳細は直接事業所に問い合わせましょう。
医師や看護師が決まった日時に定期的に自宅を訪問して診療を行います。緊急時は事前に受けた説明の通りに連絡を取って、対応してもらいましょう。
以上が一般的な利用開始までの流れになります。
※一般的な流れであり、必ずしもこの通りとは限りません。