| 虫歯治療 歯周病治療 |
根管治療 補綴治療 |
|---|
診療内容
Treatment
Treatment
虫歯は虫歯菌が糖分を摂取し酸を出すことにより、歯の成分が徐々に溶け出すことで歯に穴が空いて虫歯になります。虫歯は放置していると歯から神経の内部へどんどん進行し、痛みも激しくなってしまいます。
「歯が痛い」「歯に穴が空いている」というような症状が現れたら虫歯の治療が必要になります。
虫歯の進行虫歯は少しずつ進行していくため、早期発見が大切です。少しでも虫歯の症状が現れたら当院にご相談ください。

歯の表面にあるエナメル質が虫歯に侵されています。

エナメル質の内側にある象牙質にまで虫歯が進行した状態です。

歯の内側の神経近くまで虫歯が進行している状態です。

歯全体が虫歯に侵され、歯がほとんどなくなり根だけが残っている状態です。
当院での虫歯治療は、基本的に虫歯になっている歯を削り、詰め物または被せ物で歯を補っていく治療法です。
虫歯の進行具合によって治療方法が異なりますので、まず歯のレントゲンを撮り虫歯の状態を確認します。その後、患者さまに虫歯の説明をして適切な治療を行っていきます。
根管治療とは歯の根の先に膿が溜まっている状態や神経を抜く根の中の治療法です。
ここでは、当院での根管治療の流れや使用機器について詳しくご説明いたします。

マイクロスコープ、レントゲン、CTなどで根の形や問題点を見つけます。
診断結果によって、患者さまごとに治療方法や治療計画も変わってきます。

下記ポイントに注意しながら、細菌感染を起こした神経(歯髄)をかきだして取り、歯の中で繁殖した細菌を減らしていきます。
・器具の滅菌をしっかりと行う
・ラバーダム防湿をして隔壁を作る
・細菌感染をしっかり取る
・根の形を極力壊さない
※再根管治療の場合は以前に詰めていた根充材を取る作業を行います。

根管の中を薬剤で洗い、感染している歯質と根管内の清掃をします。
細菌が少しでも残っていると再発のリスクを高めてしまうため、慎重な処置を行います。

消毒薬を詰めて、新たな細菌が入らないように仮の封をします。
仮封セメントについては、適切な厚みの確保、適切なセメント材料の選択をします。
2~3回の通院で、STEP2〜4を繰り返し、念入りに殺菌をし徐々に根の中の細菌をできるだけ減らしていきます。

十分に殺菌ができた段階で、樹脂状の詰め物(ガッタバーチャ)をします。

緊密に封鎖ができたら、その上に被せ物を支える土台を作り、最終的な被せ物をします。
被せ物から細菌が侵入しないよう、精度の良い被せ物を作り接着します。

当院では、マイクロスコープにより、高倍率で根の中の治療を行うことがあります。
マイクロスコープは、ルーペの倍率では見えない細い根管を探し出すのに非常に有効な機械です。当院では、マイクロスコープを用いた根管治療も積極的に行っております。

根管が見つからない場合などは、CTを用いて3次元的に根管を把握します。
CTにより3次元的に根管や骨の状態を把握して治療を行うことができます。
歯周病は細菌の感染によって引き起こされる炎症性疾患の総称です。歯周病は痛みがなく静かに進行していくことから、気付いた時にはかなり進行していることも珍しくありません。
当院では歯石取り、歯周病に適した歯磨き指導をはじめ、歯周病学会認定医による専門的な歯周病治療をおこなっています。
歯周病の状態を確認するため、レントゲンを撮った後、専門の器具を用いて歯と歯茎の間の歯周ポケットの深さや出血、歯のぐらつき方などを検査します。歯周病の症状が悪く、痛みや腫れが出ている場合は応急処置を行います。
専用の器械を使って歯石除去を行います。その後、歯茎の炎症を抑えるために歯ブラシ指導を行い、ご家庭で実践していただきます。
歯周病の再検査を行った後、2度目の歯石除去を行います。正しい歯磨きが継続されていると歯茎が引き締まり、歯石除去が効果的に行えます。
歯周病の再検査を行った後、患者さま1人ひとりに合った手術計画を担当医がご提案・ご説明します。
歯周病による歯ぐきの後退、歯の根っこが露出した状態から、歯が自然に見えるように、人工の被せ物や義歯(入れ歯)、インプラントなど、人工の歯で補います。
定期的にお口のメインテナンスを行います。メインテナンスでは、歯垢の付着や歯周ポケットの溝の深さの確認、歯茎の炎症の確認、歯石除去などを行います。

当院では再生治療であるリグロスやエムドゲインを行っています。ただし、全ての症例がリグロスやエムドゲインなどの再生療法の適応になるわけではありませんので、リグロス、エムドゲインをご希望の患者さまはご相談ください。
※歯周病の治療は症状によっては長期間かかることがあります。
写真:リグロス歯科用液キット600μg

赤い点線内の治療を行います。

歯肉に局所麻酔を注射して神経を麻痺させます。

医療用メスを使用して歯肉を切開します。

切開した歯肉を剥離翻転(ひっくり返す)し、深部に付着している歯石を取り除きます。

歯槽骨の欠損部にリグロスを塗布し、歯を支えている歯周組織の再生を促します。

切開した場所を縫い合わせて元に戻します。

抜糸の目安は、手術日から1〜2週間後となります。抜糸するまで手術部位には触らないでください。

定期的なSPT(メインテナンス)のための受診をしていただきます。
※歯周組織再生療法後のスケジュールは患者さまによって異なります。
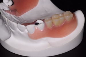
歯を失った部分を補う治療です。ブリッジ、クラウン、入れ歯などの治療法があります。
当院では治療に要する時間や費用、さらには患者さまご自身の状態に合わせて、ふさわしい治療法を選択して治療します。
ジルコニアは強度が高く丈夫な素材です。治療後もしっかりとものを噛むことができ、金属よりも軽いため歯にかかる負担が軽減されることがメリットです。
また、ジルコニアは白くて透明感があるため、歯に馴染みやすく目立ちにくい素材です。金属の補強なしで使用できるので、金属アレルギーのある方でも安心して治療することができます。

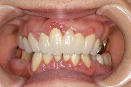
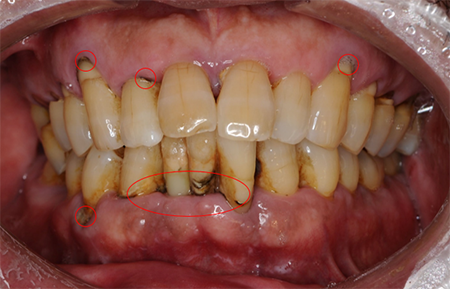
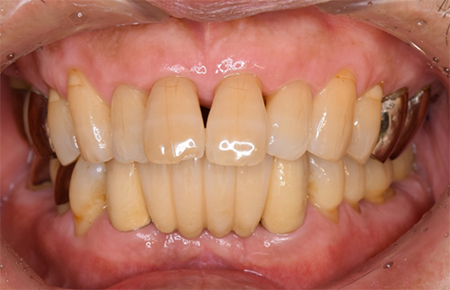
歯周病検査とレントゲン撮影を行い、患者さまと治療方針のすり合わせを行い、歯周病治療へと移行。

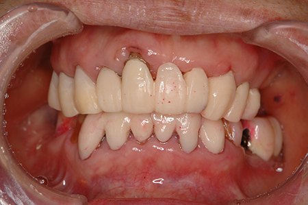
歯周病の治療および根の治療を、仮歯を使いながら、見た目がなるべく悪くならないように補って治療を行います。

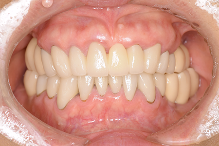
仮歯で歯の大きさ、形を納得してもらった後に型取りをし、最終的な被せ物に置き換えていきます。
被せ物や治療の種類により保険内治療、保険外治療に分かれます。
| 治療内容 | 奥歯の抜歯、被せ物(補綴)治療、根管治療、インプラント治療、 ジルコボンドによる審美および機能補綴 |
|---|---|
| メリット デメリット |
インプラントのメリット・デメリットはこちら ジルコボンドのメリット・デメリットはこちら |
| 費用 | ・ジルコボンド150000円×18歯 ・仮歯10,000円×18歯 ・土台10,000円×18歯 ・前歯の小矯正50,000円×1歯 ・クラウンレングスニング50,000円×5歯 ・インプラント500,000円×8本 ・インプラント骨造成(GBR)150,000円×3回(全て税別) |
| 治療の注意点 | 被せ物が保険外の場合土台と仮歯は保険適応外になります。 インプラントのメインテナンスは保険適応外(1回5,000円)になります。 |
ジルコボンド150,000~250,000円/本
emax・ジルコニアクラウンemax:90,000円/本
レイヤリングジルコニア:100,000円/本
単色ジルコニア:80,000円/本
emax・ジルコニアインレーemaxインレー:50,000円/本
ジルコニアインレー:60,000円/本
メタルボンドクラウン
金属インレー
金属冠
レジン前装冠※レジン前装冠は、前歯、一部条件下で第一小臼歯のみ保険適用、それ以外の治療は保険適用外となります。
CAD/CAM冠※CAD/CAM冠は、第一第二小臼歯、一部条件下で第一大臼歯は保険適用、それ以外の治療は保険適用外となります。
ブリッジは欠損している歯の両隣の歯が残っている場合にできる治療です。
両隣の歯に人口の被せ物をし、欠損部分には歯の偽物を作製することで欠損した歯を補います。装着後の見た目も自然で、違和感もなく、自分の歯とあまり変わらない強さで噛むことができます。
ただし、両隣の歯が健康な歯である場合は、歯を削ることで負担をかけてしまう可能性もありますので、治療の際は歯の状態を十分確認して判断します。基本的に、ブリッジは保険適用の治療になりますが、見た目をより自然に見せたい場合は、保険適用外のセラミック素材を用いることで審美性を高くすることもできます。
入れ歯は、欠損した歯の部分に数本の人工の歯を人工樹脂で連結したものです。欠損した歯の隣の歯や歯ぐきに入れ歯を固定することで食べ物を噛めるようにする治療法です。
欠損した歯が数本である場合は部分入れ歯、すべての歯がない場合は総入れ歯を入れます。ブリッジやインプラントと違い、取り外しできるのが特徴です。
当院での入れ歯治療は、問診・検査の後、患者さまの歯とお口の中状態、治療方法、治療期間や費用をご説明しながら、どのように治療を行っていくかを決めていきます。
入れ歯の種類を決め、お口の型取りや噛み合わせの計測をしたら仮入れ歯を作製します。患者さまに仮入れ歯を装着していただき、痛みや噛み合わせ、他の歯とのバランスなどを確認していただき、微調整を行います。その後、完成した入れ歯を装着して最終調整をして仕上げます。
入れ歯を長持ちさせるためには定期的なメインテナンスが大切です。当院では入れ歯のチェックに加え、虫歯や歯周病の検査も行い、入れ歯と健康な歯をきれいに保つよう指導しています。
ノンクラスプ義歯
一般的な義歯