どうする歯周ポケット、根尖性歯周炎!?
~フラップ手術、意図的再植術、歯根端切除術、逆根管充填、歯肉剥離掻爬術編~
手術名:フラップ手術、意図的再植術、歯根端切除術、逆根管充填、歯肉剥離掻爬術、歯根分離術
更新日:2020年5月4日
↑ クリックして手術動画を見ることが出来ます ↑
YouTubeチャンネル A先生の歯医者チャンネルを運営している AKIRA DENTAL CLINIC|アキラデンタルクリニック|あきらでんたるくりにっく 院長の川西 章です。
今回は根尖病変(根の先の膿)が大きく瘻孔(膿の袋)が出来てしまったケースの解説になります。
根管内(根の中)から感染を起こし、根の先に病変を作ることを「根尖病変」といいます。
基本的には根管治療という根の治療を行いますが、
病変が大きすぎたり重傷だと治らないこともあります。
そのため確実に感染源を除去するために外科処置をおこなうことがあります。
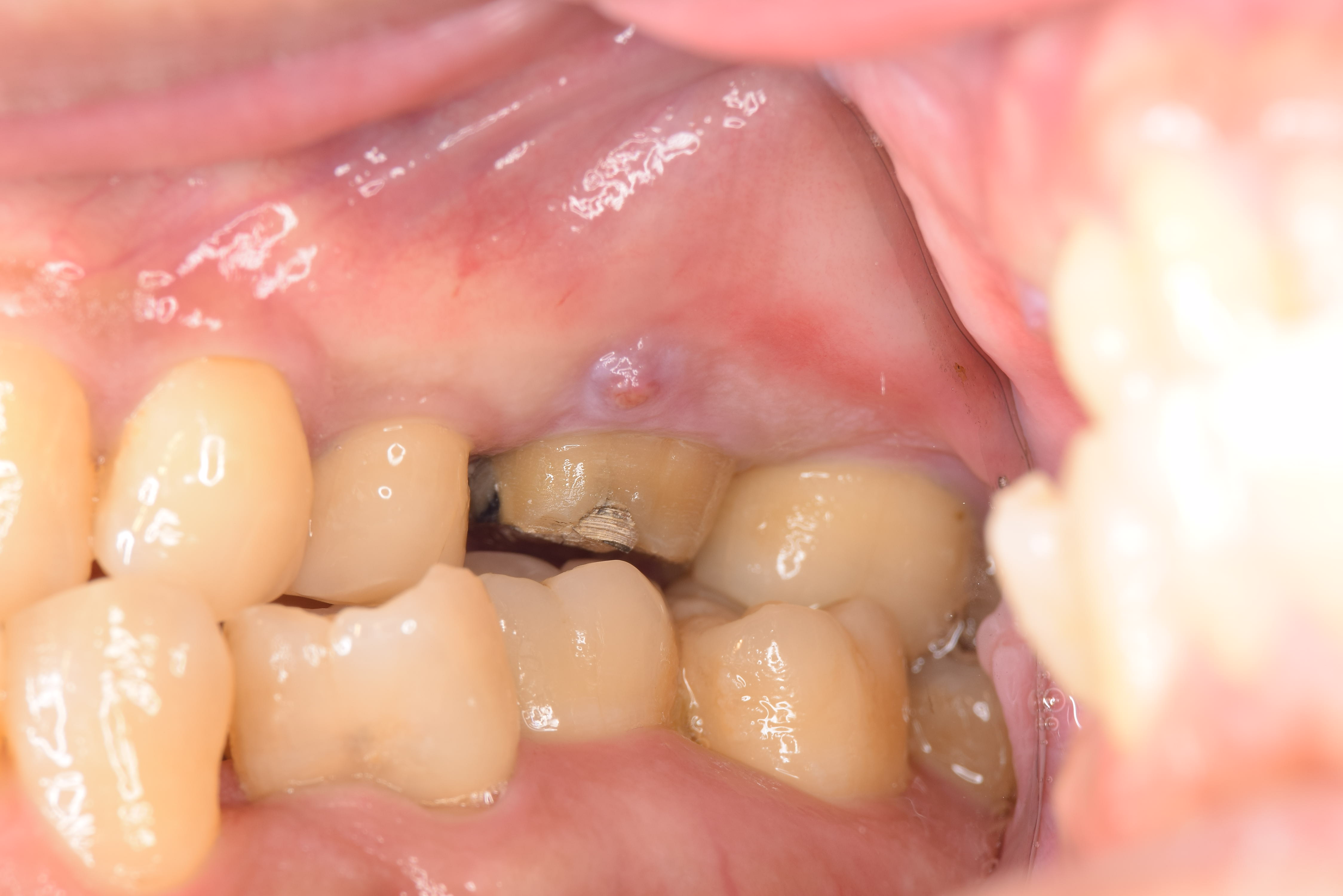
術前の状態です。小さな膿の袋があります。(ミラー像)
歯を分割し、一度抜いた状態です。
抜いた状態で骨の中にある感染源と歯根に付着している細菌(バイオフィルム)を除去します。
感染経路となっている根の先をMTAセメントで封鎖します。この操作を逆根管充填と言います。
再植完了です。
再植後は1ヶ月ほど噛まないように注意します。
術後1ヶ月の状態です。
綺麗に膿の袋が消えているのがわかります。

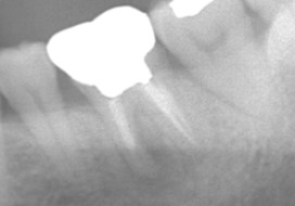
術前のレントゲン写真です。
根の先に膿の袋があります。(レントゲン透過像)

術直後です。
悪い組織を掻き出したばかりのため根の周りはまだ黒くなっています。

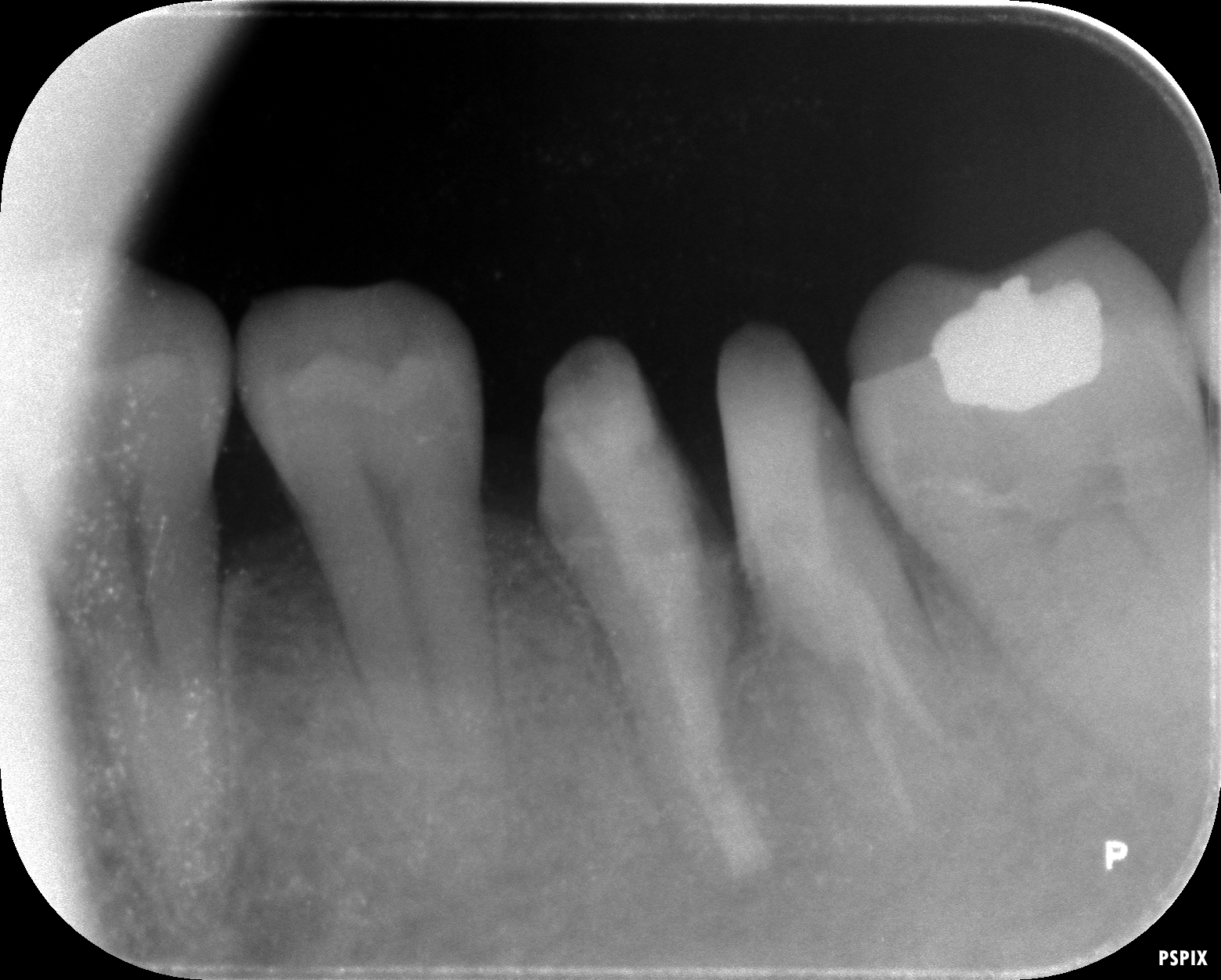
術後3ヶ月でのレントゲン写真です。
術後の経過は良好で、根尖部の透過像(膿の袋)は無くなりました。
極力歯を残したい、そんな思いから色々な治療を提案したいと思っているのが私の考えです。
理想はここまで悪くならないようにすることですが、なかなか難しい時もあります。
不良なケアの状態では歯周病も悪くなりますので継続的なメンテナンスが必要になってくるため定期的なメンテナンス(SPT)に通うことをお勧め致します。
利点:感染源を除去することができる。
膿の袋がなくなる可能性がある。
欠点:抜歯になる可能性がある。
外科的な処置になるため全身疾患がある場合は行えない場合がある。
保険適応外の診療になる。
手術費用:意図的再植術1歯50000円+税 MTAを用いた逆根管充填150000円+税 リグロス薬材料25000円/本 人工骨25000円/回 治療期間:手術から最終補綴まで約1年(治癒の程度による) 治療回数:10回(診査、根管治療、手術、抜糸、固定、仮歯、被せ物等)
【サイト作成ドメイン取得に興味がある方はこちら!】
