どうする歯根嚢胞!?
~歯根端切除術、嚢胞摘出術、メンブレン編~
手術名:歯根端切除術、嚢胞摘出術、逆根管充填、GTR法、歯周組織再生療法、人工骨移植
更新日:2020年4月12日
↑ クリックして手術動画を見ることが出来ます ↑
YouTubeチャンネル A先生の歯医者チャンネルを運営している AKIRA DENTAL CLINIC|アキラデンタルクリニック|あきらでんたるくりにっく 院長の川西 章です。
今回は重度の根尖性歯周炎に対して歯根端切除術や人工骨移植を含む外科治療を行っていきました。
右上1番に対して根管治療を行ったが瘻孔(膿の出る穴)が無くならなかったため外科処置へと移行しました。

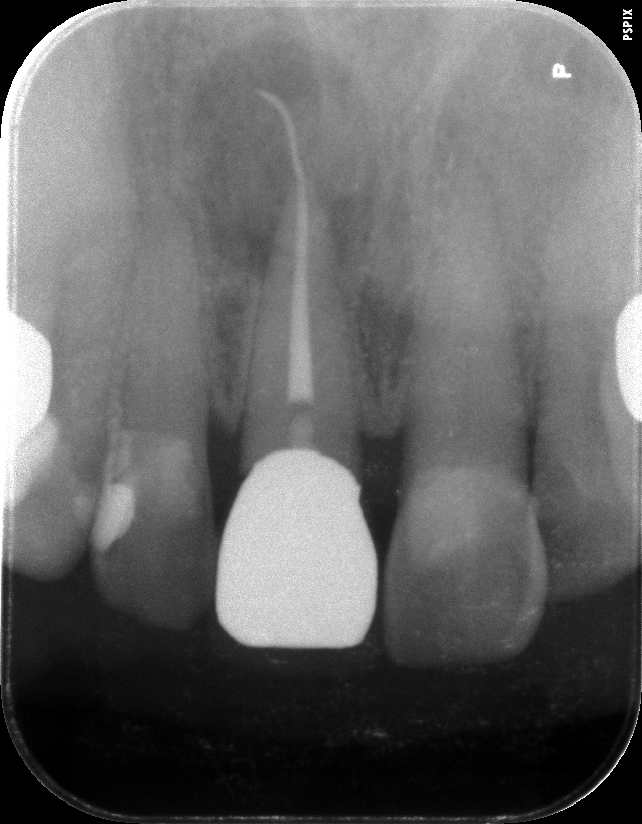
右上1番の根の先の部分に腫れと瘻孔(膿の出る穴)があります。

術前のレントゲン写真です。根の先の周りに黒い像がありますが骨の吸収像です。
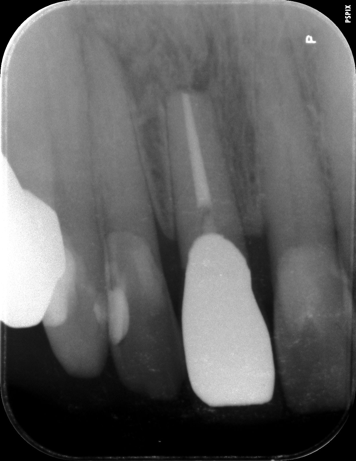
根の先を切り、人工骨を移植し、縫合しました。

骨の欠損部は人工骨で満たされ黒い像が完全に消えています。
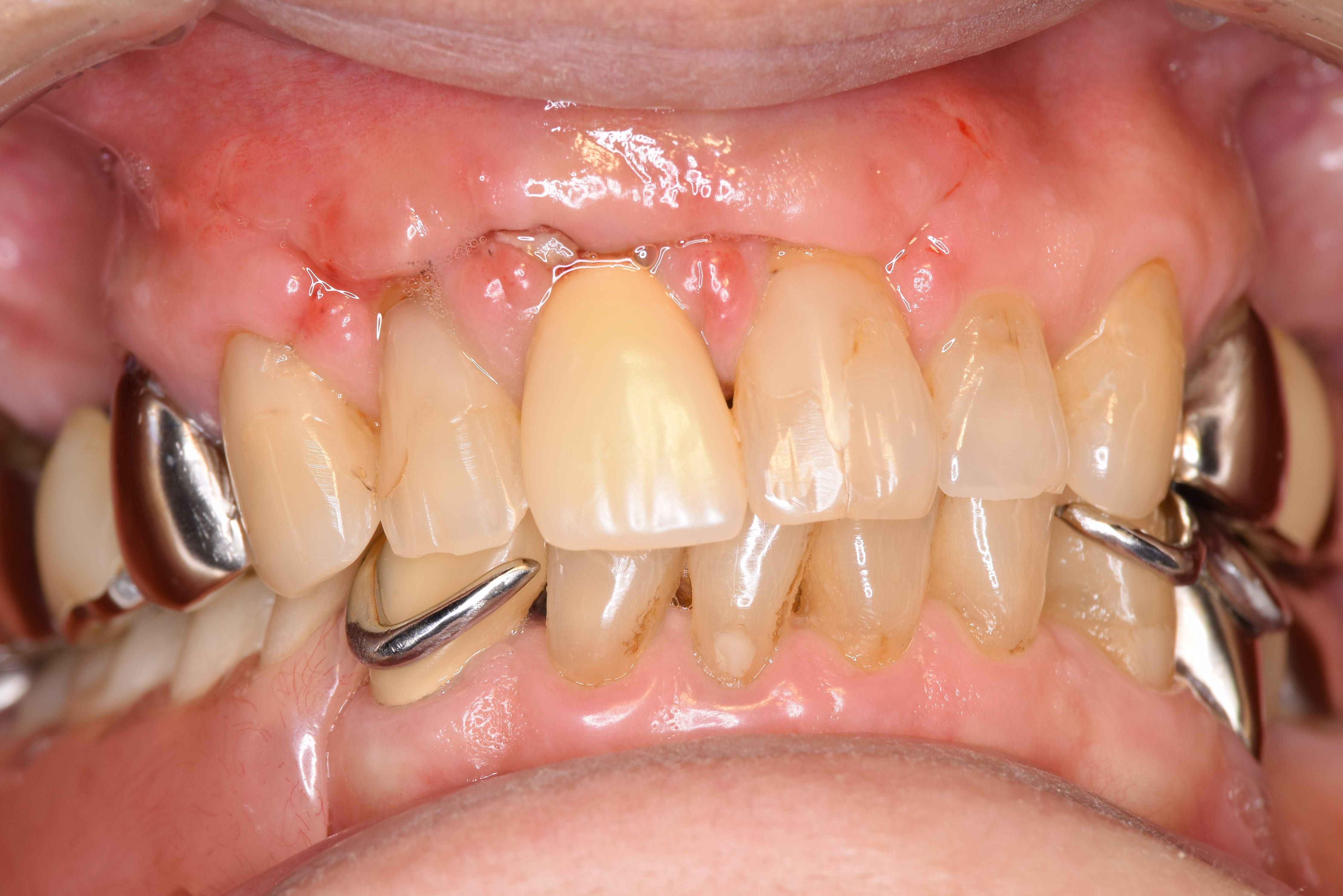
抜糸時です。残念ながら症状が消えたためかその後来院が途絶えてしまい経過を追うことが出来ませんでした。
極力歯を残す、抜歯しないを心掛けていく上で大切な処置の一つになります。(保存不可の場合はしっかりと説明させていただいております)
今回のようなケースは難治性の根尖病変などに対しても行う事ができますが、継続的なメンテナンスが必要になってくるため定期的なメンテナンス(SPT)に通うことをお勧め致します。
利点:感染源の確実な除去を行える
根の先からの細菌の増殖を減らせる。
欠点:保険外の診療になる。
外科的な処置になるため全身疾患がある場合は行えない場合がある。
歯肉(歯茎)が下がってしまう可能性がある。
残せないと判断したら抜歯になってしまうことがある。
人工骨の再感染が起こる可能性がある。
手術費用:歯根端切除術1歯100000円+税 MTAを用いた逆根管充填50000円+税 人工骨25000円/回 治療期間:手術後経過約半年(治癒の程度による) 治療回数:5回(診査、根管治療、手術、抜糸)
【サイト作成ドメイン取得に興味がある方はこちら!】
