どうする歯周ポケット!?
~コルチコトミー矯正、リグロス、フラップ手術、歯肉剥離掻爬術、部分矯正編~
手術名:コルチコトミースピード矯正、リグロスを用いた歯肉剥離掻爬術、フラップ手術、歯周組織再生療法
更新日:2020年3月31日
↑↑↑クリックして手術動画を見ることが出来ます↑↑↑
↑ クリックして手術動画を見ることが出来ます ↑
YouTubeチャンネル A先生の歯医者チャンネルを運営している AKIRA DENTAL CLINIC 院長の川西 章です。
歯列不正(歯並びが悪い)を伴い、歯周病外科(歯周病の手術)を行う際に希望があれば同時に骨を部分的に削り矯正スピードを早くするコルチコトミー矯正について説明していきます。
理想的な歯並びを獲得することは虫歯や歯周病になりづらい環境を作るのに大切なことです。 歯並びが良いことにより歯ブラシがしやすくなり、また笑顔に自信が持てるようになります。
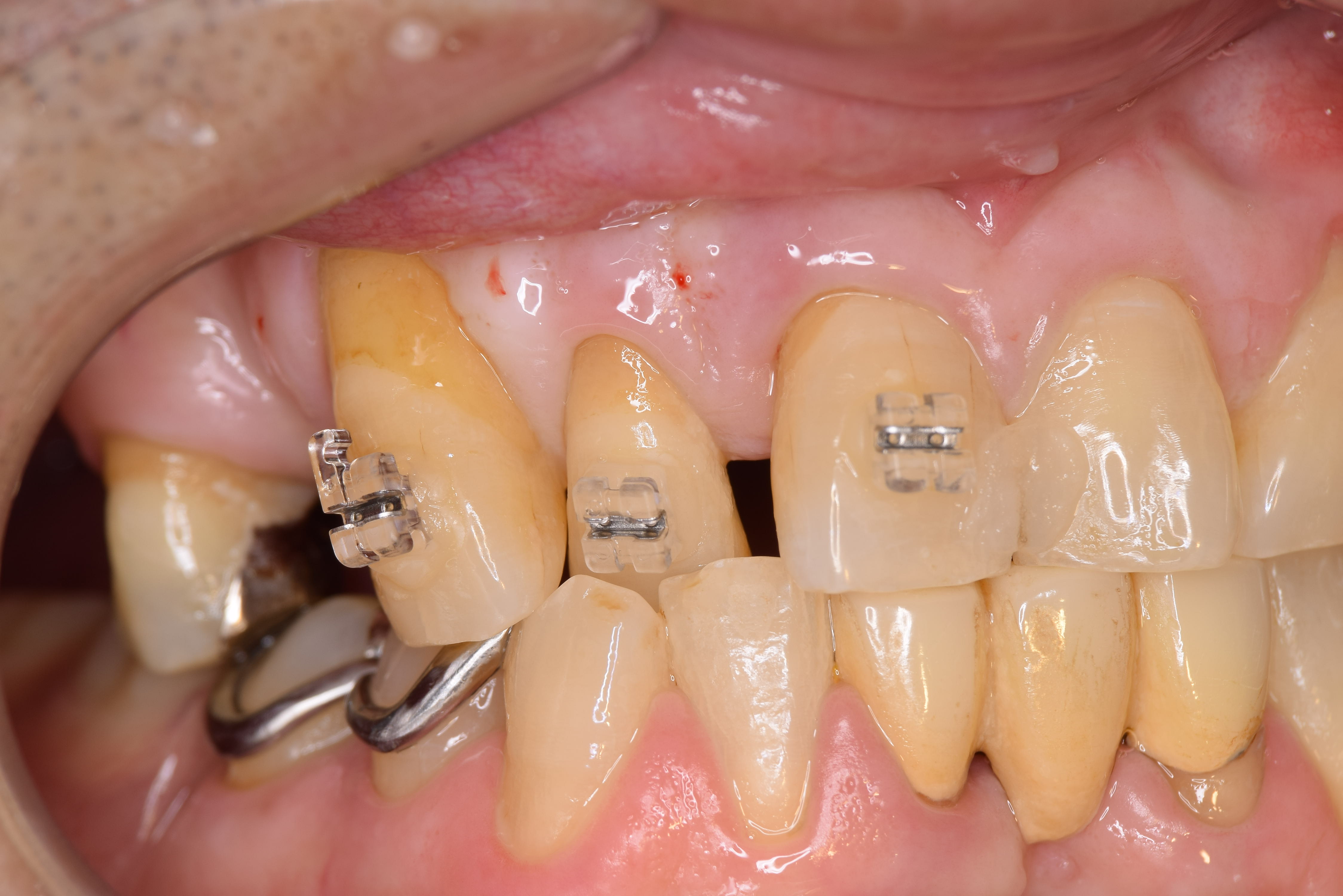
今回のケースでは右上の前から2番目の歯が舌側転移(内側へ入り込んでいる状態)となっていました。
歯周病の再生治療と同時に骨を削り、歯の並びを早くします。
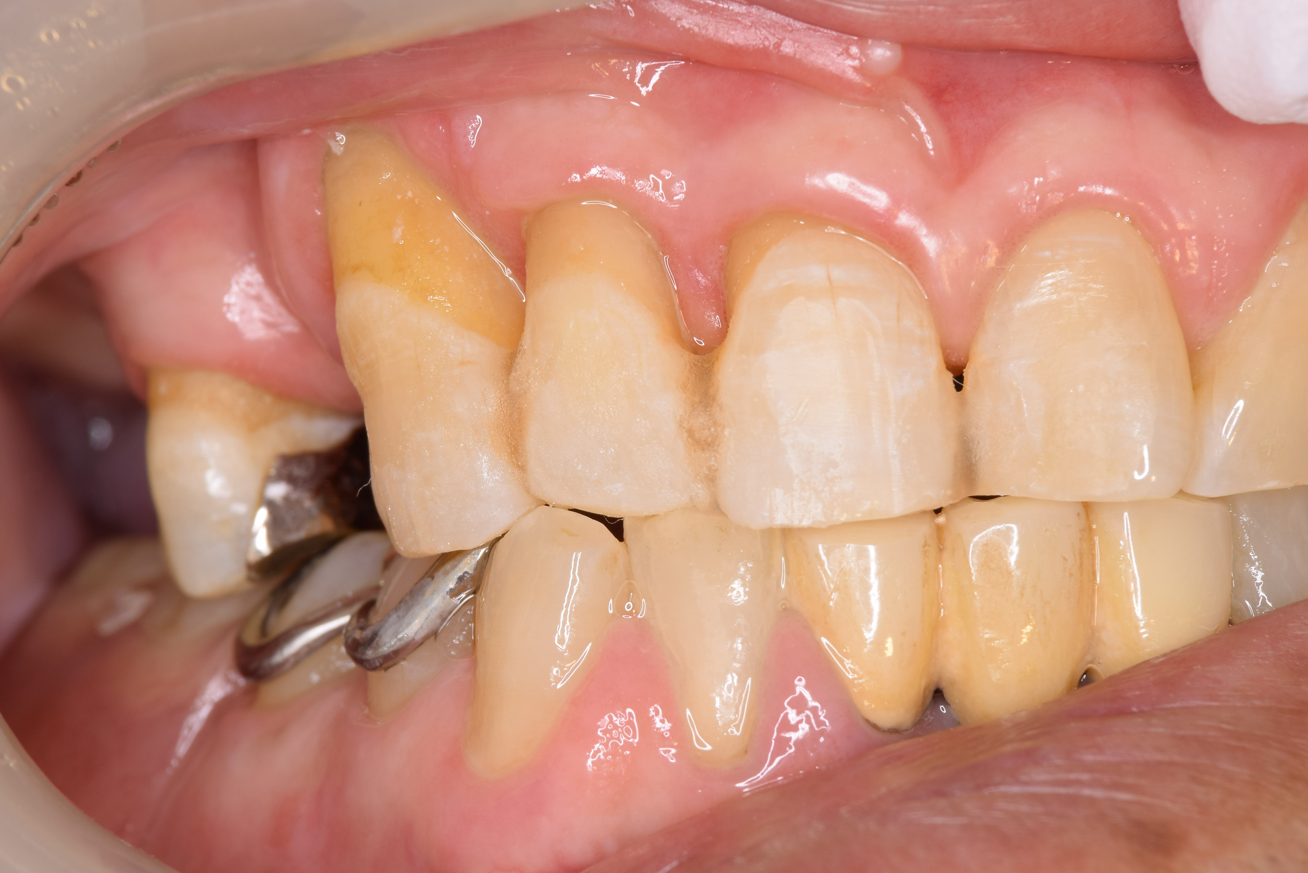
抜糸の時点で歯の移動が起きています。それくらい速いスピードで歯列が綺麗になっていきます。
矯正開始後2ヶ月でここまで動かすことができました。
個人差はありますが非常に早く歯が動いております。
極力歯を残す、抜歯しないを心掛けていく上で大切な処置の一つになります。(保存不可の場合はしっかりと説明させていただいております)
今回のような部分的な矯正(MTM)と全体的に行う歯列矯正にも適応できます。
利点:歯の移動スピードが早くなる。
外科処置が一度で済む。
リグロスにより骨の再生を期待できる。
欠点:保険外の診療になる。
外科的な処置になるため全身疾患がある場合は行えない場合がある。
歯肉(歯茎)が下がってしまう。
コルチコトミーにより腫れや痛みが大きく出てしまう恐れがある。
手術費用:小矯正1歯50000円+税 コルチコトミー手術100000円+税(今ケースでは少数のため、全顎の場合は25万円/顎)リグロス薬材料25000円/本 治療期間:手術から固定まで約半年(治癒の程度による) 治療回数:10回(診査、装置装着、手術、抜糸、ワイヤー交換、固定)
【サイト作成ドメイン取得に興味がある方はこちら!】
